Создаем красивые и здоровые зубы

Наши работы

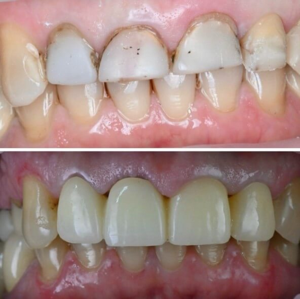
Имплантация зубов

Без скрытых доплат и дополнительных услуг по цене от 25 000 руб! Наши хирурги установят имплант быстро и безболезненно с использованием современных цифровых технологий, безопасных и надежных материалов! Возможна рассрочка платежа! Подробнее читайте по ссылке.

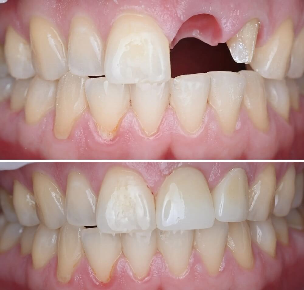
Имплантация зубов под ключ Имплантация зубов под ключ Имплантация зубов под ключ Имплантация фронтального зуба с установкой коронки, протезирование на свой зуб Протезирование зубов коронками из диоксида циркония совместно с имплантацией
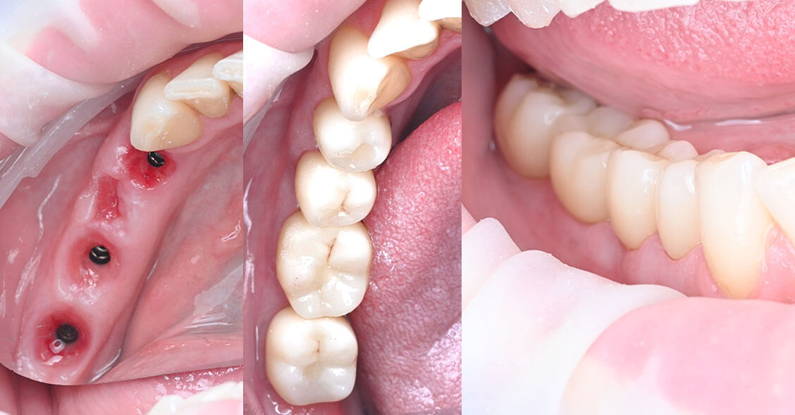
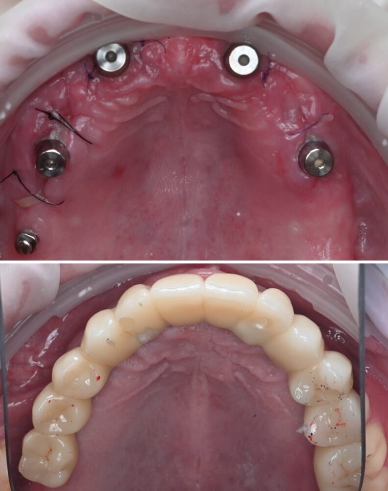
Имплантация All-On-4
(все зубы на 4 имплантах)

Имплантация всей челюсти по системе All-On-4 от 100 000 руб. Все зубы на 4 имплантах значительно выгоднее установки по одному. Данная процедура сэкономит не только Ваши деньги, но и время, ведь с готовыми зубами можно уйти на 2-й день! Возможна рассрочка платежа! Подробнее читайте по ссылке.

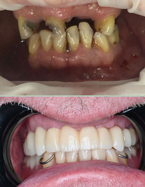
Имплантация все на 4 (All-On-4) Имплантация все на 4 (All-On-4) Имплантация все на 4 (All-On-4) Имплантация все на 4 верхняя челюсть (All-On-4)
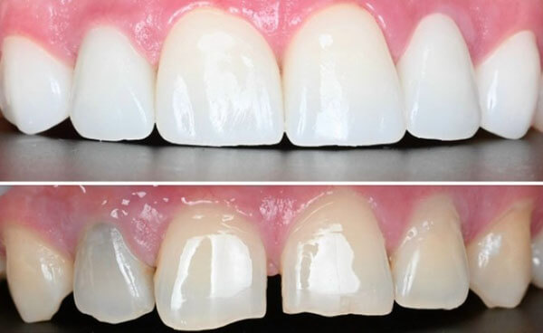
Установка виниров, протезирование зубов

Создаем идеальную яркую улыбку с использованием лучших материалов! Подробнее читайте по ссылке.

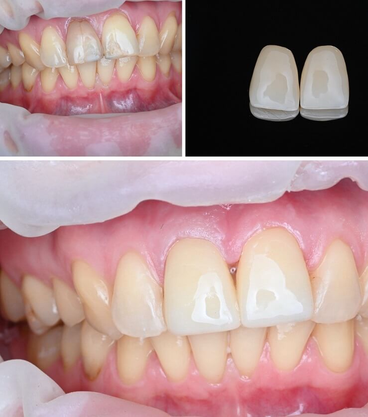
Установка виниров (протезирование зубов) Установка виниров (протезирование зубов) Установка виниров (протезирование зубов) Протезирование зубов коронками из диоксида циркония совместно с имплантацией Протезирование фронтальных зубов Имплантация фронтального зуба с установкой коронки, протезирование на свой зуб
Отбеливание зубов Amazing White

Белоснежная улыбка за 1 посещение стоматолога. Подробнее читайте по ссылке.

Отбеливание зубов
Лечение кариеса

Лечим кариес любой сложности, а также пульпит, периодонтит. Подробнее читайте по ссылке.

Лечение среднего и глубокого кариеса
Запись на консультацию
Акция новым клиентам стоматологии Альба-Дент Акция новым клиентам стоматологии Альба-Дент
1000 рублей
купон на все услуги клиники

Оставьте свои данные для получения бонуса!

Согласен на обработку персональных данных

Акция новым клиентам стоматологии Альба-Дент